こばやし歯科 口腔外科・矯正歯科クリニック

矯正無料カウンセリング受付中
0940-36-9937

こばやし歯科 口腔外科・矯正歯科クリニック

MENU

症例

Case

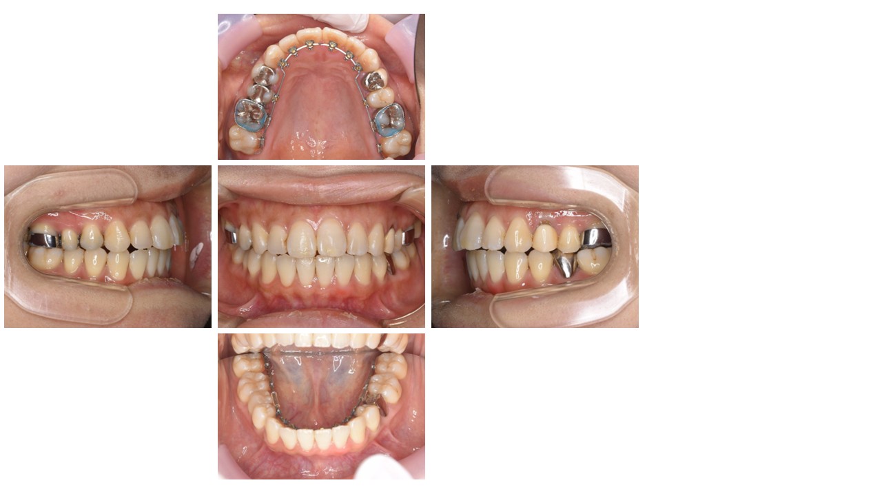
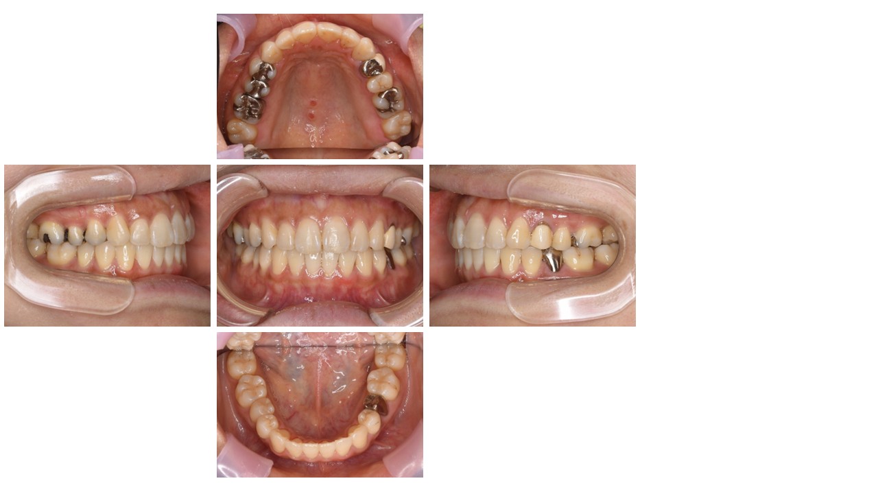
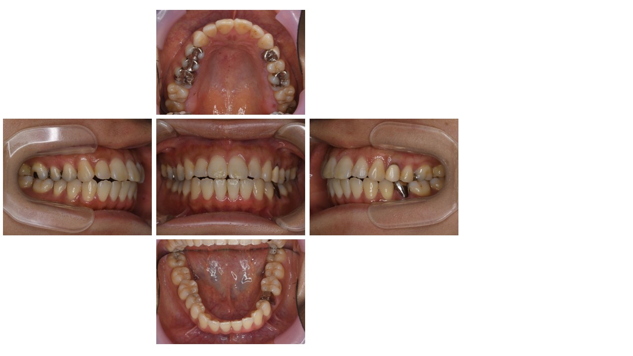
矯正治療/上顎前突(上の歯がでている)開口(前歯が咬めない)

20代女性

主訴:前歯が出ている 口元がでている

診断・症状:上顎前突 前歯部開口

抜歯部位:非抜歯

装置:リンガル(舌側矯正) 矯正用アンカースクリュー使用

治療期間:1年10か月

治療費:1,287,000円(10%税込み) *処置料・再診料・保定料を含む

リスク・副作用:治療中は歯が動く痛みがあります

矯正治療中は虫歯や歯周病になるリスクが高くなる可能性があります

歯が動く速さは個人差があるため治療期間が延びる可能性があります

治療前

治療中

治療後