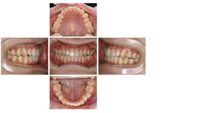
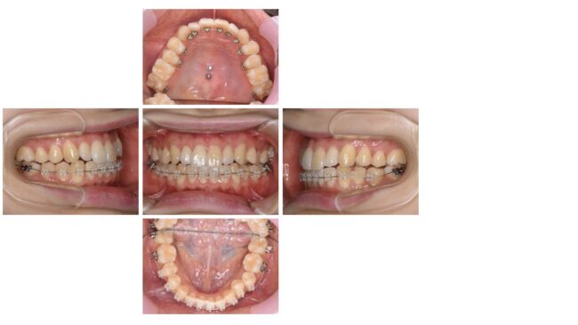
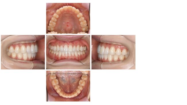
症例
Case
Case
10代女性
主訴:かみ合わせが悪い 咬めない
診断・症状:叢生
抜歯部位:非抜歯
装置: 上顎リンガル(舌側矯正) 下顎ラビアル(唇側矯正)
矯正用アンカースクリュー使用
治療期間:1年10か月
治療費:1,034,000円(10%税込み)*処置料 再診料 保定料を含む
リスク・副作用:治療中は歯が動く痛みがあります
:矯正治療中は虫歯や歯周病になるリスクが高くなる可能性があります
:歯が動く速さは個人差があるため、治療期間がのびる可能性があります
治療前

治療中

治療後
