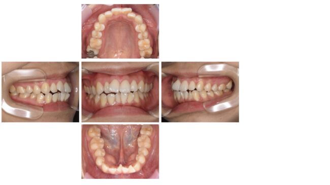
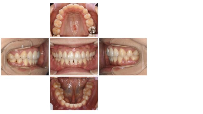
症例
Case
Case
20代女性
主訴:上の歯が出ている 口元の突出 口が閉じにくい
診断・症状:開口 上下顎前突 叢生
装置:上顎リンガル(舌側矯正) 下顎ラビアル(唇側矯正)
矯正用アンカースクリュー使用
抜歯部位:上下顎左右側第一小臼歯
治療期間:4年
治療費:1,056,000円(10%税込み)*処置料 再診料 保定料を含む
リスク・副作用:治療中は歯が動く痛みがあります
:治療中は虫歯や歯周病のリスクが高くなる可能性があります
:歯の動く速さは個人差があるため、治療期間が延びる可能性があります
治療前

治療中

治療後
