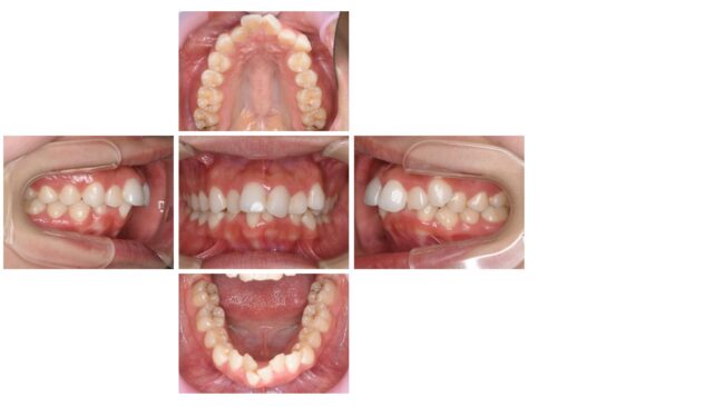
症例
Case
Case
20代女性
主訴:上の歯が出ている 歯のでこぼこ
診断・症状:上顎前突 叢生 狭窄歯列
抜歯部位:非抜歯
装置:上顎リンガル(舌側矯正) 下顎ラビアル(唇側矯正) BH
矯正用アンカースクリュー(上顎)
治療期間:2年9か月
治療費:1,056,000円(10%税込み) *処置料 再診療 保定料を含む
リスク・副作用:矯正中は歯が動く痛みがあります
:矯正中は虫歯や歯周病になるリスクが高くなる可能性があります
:歯が動く速さは個人差があるため治療期間が延びる可能性があります
治療前

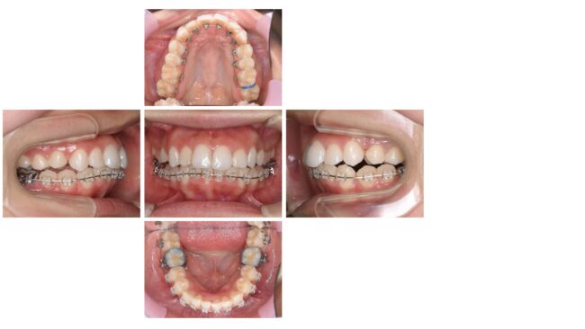
治療中

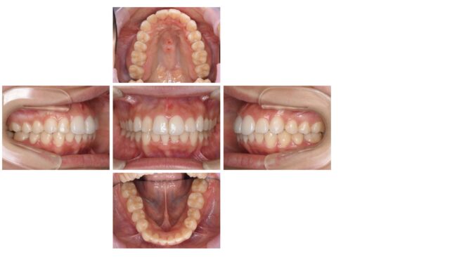
治療後
